couronnes esthétiques
QU’EST CE QUE C’EST
En odontologie esthétique, grâce à la recherche et à de nouveaux matériaux, les instruments et les traitements disponibles évoluent constamment. L'équipe d'odontologie des CLINICHE DENTAL QUALITY bénéficie d'une formation constante afin de pouvoir offrir aux patients ce qu'il a de mieux et des traitements de pointe.
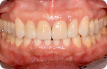
Au cas où il faudrait avoir recours à une prothèse dentaire fixe (couronne ou bridge), celle-ci peut être fabriquée dans divers matériaux. Aujourd'hui, certains d'entre eux rendent les prothèses esthétiquement très proches des dents naturelles, en raison de leur couleur et de leur transparence particulières. C'est le cas des prothèses en céramique intégrale et en zircone et céramique, que nous recommandons pour un résultat esthétique parfait, qui rend la prothèse impossible à distinguer des dents naturelles.
Couronnes esthétiques non métalliques (céramique intégrale)
Les prothèses en céramique non métalliques sont entièrement fabriquées en céramique (céramique intégrale), sans utiliser de métal, et sont particulièrement translucides, ce qui les rapproche de l'émail des dents naturelles; il s'agit donc de la meilleure solution sur le plan esthétique.
Couronnes esthétiques en zircone et céramique
Les prothèses fixes traditionnelles sont en fonte revêtue de céramique. En revanche, dans le cas de la couronne en zircone la fonte a été remplacée par de l'oxyde de zirconium, métal blanc biocompatible, qui améliore sensiblement son esthétique.
